Reg. San. No. 0870C2010 SSA
Reg. San. No. 0870C2010 SSA
Lograr sonrisas más blancas en tus pacientes es tan fácil como activar el modo Pola Night. Ideal para quienes presentan sensibilidad o como complemento a un blanqueamiento en consultorio
Conoce sus características:
- A base de peróxido de carbamida.
- Liberación de fluoruro que favorece la remineralización del diente.
- Tecnología desensibilizante Pola TDP*.
- Alto contenido de agua.
- pH neutro que protege dientes y encías.
- Gel de alta viscosidad.
- Agradable sabor menta.
- Opcional: No requiere aplicación de barrera espaciadora en el modelo de trabajo.
*Tecnología desensibilizante Pola, que contribuye a la prevención de la sensibilidad postoperatoria.
Disponible en dos concentraciones:
Tiempo de aplicación: Desde 90 min a toda la noche
Tiempo de aplicación: 45 minutos
Elige la concentración que se adapte mejor a la rutina de tu paciente.
Conoce sus características:
- A base de peróxido de carbamida.
- Liberación de fluoruro que favorece la remineralización del diente.
- Tecnología desensibilizante Pola TDP*.
- Alto contenido de agua.
- pH neutro que protege dientes y encías.
- Gel de alta viscosidad.
- Agradable sabor menta.
- Opcional: No requiere aplicación de barrera espaciadora en el modelo de trabajo.
*Tecnología desensibilizante Pola, que contribuye a la prevención de la sensibilidad postoperatoria.
Disponible en dos concentraciones:
Tiempo de aplicación: Desde 90 min a toda la noche
Tiempo de aplicación: 45 minutos
Elige la concentración que se adapte mejor a la rutina de tu paciente.
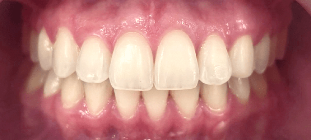
Caso clínico 1. Dr. Victor Jiménez
Uso en paciente con sensibilidad
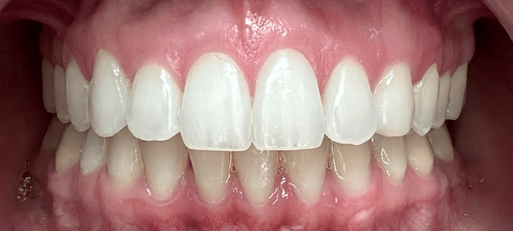
Caso clínico 2. Dr. Jorge Eustáquio y Dra. Samara Franc
Técnica combinada Pola Office 35% y Pola Night 16%
Caso clínico 1. Dr. Victor Jiménez
Uso en paciente con sensibilidad
Caso clínico 2. Dr. Jorge Eustáquio y Dra. Samara Franc
Técnica combinada Pola Office 35% y Pola Night 16%
